Nature:挑战实体瘤,CAR-T新突破来了
(转载自//mp.weixin.qq.com/s/kjldzLJBZUP_JbY8QBjMJQ)
CAR-T细胞疗法治疗恶性血液肿瘤患者取得了显著成功,但对实体瘤患者的疗效有限,主要原因在于实体瘤中的免疫抑制微环境、肿瘤抗原异质性、CAR-T的长期持续性不足以及CAR-T难以浸润到肿瘤内部等。
为了克服这些障碍,分泌促炎细胞因子(如IL-2、IL-12、IL-15、IL-18、Flt3L、IFNγ)的“装甲”CAR-T细胞已经被开发出来。然而,促炎细胞因子的外周表达可导致毒性,因此限制了“装甲”CAR-T细胞的临床应用。为解决这一问题,科学家们在探索如何限制“装甲因子”只在肿瘤部位表达。

近日,来自澳大利亚Peter MacCallum癌症中心的一个科学家团队在Nature杂志发表了题为Rewiring endogenous genes in CAR T cells for tumour-restricted payload delivery的突破性成果。研究人员利用基因工程技术(CRISPR敲入策略),实现了促炎细胞因子仅在肿瘤部位表达,为实体瘤CAR-T治疗带来了新的突破。

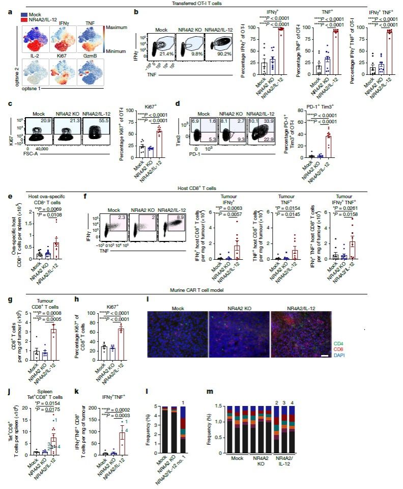
NR4A2/IL-12工程改造T细胞表现出增强的促炎表型,有效促进宿主抗肿瘤免疫
这是通过利用一种叫做启动子的天然“开关”来实现的。研究者们鉴定出了NR4A2和RGS16两种启动子,支持促炎因子的肿瘤靶向表达(递送)。研究进一步证明,分别通过NR4A2或RGS16启动子表达IL-12或IL-2可产生强大的治疗反应,而没有任何明显的毒性迹象。研究人员将基于这些发现开发的智能CAR-T细胞命名为“Precision Guided Munition (PGM) CAR T-cells”。

CRISPR工程改造人CAR-T细胞的治疗效果和临床适用性
“PGM CAR-T细胞现在能够将免疫激活分子直接递送到肿瘤中,而不影响健康组织,避免了先前疗法常见的毒副作用。” 论文共同通讯作者Paul Beavis说道,“我们鉴定出了两个关键的启动子,它们主要在肿瘤中的CAR-T细胞中活跃。通过使用CRISPR,我们可以在这些启动子的控制下插入强大的细胞因子基因,如IL-12和IL-2,从而导致局部和有效的抗癌免疫反应。”
研究人员在乳腺癌、结肠癌和卵巢癌等多种癌症模型中测试了这项新技术,结果令人振奋,治愈率接近100%。
共同领导该研究的Phil Darcy教授表示:“由于我们开发的系统允许免疫反应定位于肿瘤微环境,我们看到毒性更小,这应该会导致更安全的治疗。在动物模型中,这种靶向性策略改善了肿瘤控制和长期生存,即使在引入人类癌症的模型中也是如此。”
总结来说,该研究代表了CAR-T细胞疗法在治疗乳腺癌等实体瘤方面迈出了重要一步。据悉,该团队目前正在探索PGM CAR-T细胞治疗多发性骨髓瘤和/或实体瘤的首次人体试验。
参考资料:
[1]//www.nature.com/articles/s41586-025-09212-7
[2]//www.petermac.org/about-us/news-and-events/news/details/finding-a-way-to-fight-solid-tumour-cancers-with-car-t-cell-therapy